无码影片简介
1949年,伴随着新中国的诞生,无码影片
成立。
作为国家在科学技术方面的最高学术机构和全国自然科学与高新技术的综合研究与发展中心,建院以来,无码影片
时刻牢记使命,与科学共进,与祖国同行,以国家富强、人民幸福为己任,人才辈出,硕果累累,为我国科技进步、经济社会发展和国家安全做出了不可替代的重要贡献。 更多简介 +
院领导集体
创新单元
科技奖励
科技期刊
工作动态/ 更多
无码影片 学部
无码影片 院部
语音播报
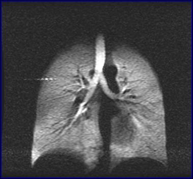
完成单位:无码影片 武汉物理与数学研究所
无码影片 武汉物理与数学研究所研究员周欣、中科院院士叶朝辉带领的科研团队克服技术难关,研制出具有自主知识产权的人体肺部气体磁共振成像系统。该系统弥补了传统磁共振成像不能检测肺部空腔结构的缺陷,成功“点亮”人体肺部,且能同时获得肺部气气、气血交换的功能信息,成为肺癌等重大疾病早期科学研究和诊断的新利器。目前,该成果已转移转化成立产业化公司,且正在申请医疗器械注册证。2018年7月在同济医院建立了第一个肺部气体磁共振临床检测中心,用于大规模临床病例获取工作。
相关链接:

人体肺部气体磁共振成像系统


左:核心装置超极化气体发生器 右:我国首幅人体肺部气体磁共振成像图
扫一扫在手机打开当前页
© 版权所有:无码影片-热门无码影片在线播放
京ICP备05002857号-1
京公网安备110402500047号 网站标识码bm48000002
地址:北京市西城区三里河路52号 邮编:100864
电话: 86 10 68597114(总机) 86 10 68597289(总值班室)
© 版权所有:无码影片-热门无码影片在线播放
京ICP备05002857号-1
京公网安备110402500047号 网站标识码bm48000002
地址:北京市西城区三里河路52号 邮编:100864
电话: 86 10 68597114(总机) 86 10 68597289(总值班室)
© 版权所有:无码影片-热门无码影片在线播放
京ICP备05002857号-1
京公网安备110402500047号
网站标识码bm48000002
地址:北京市西城区三里河路52号 邮编:100864
电话:86 10 68597114(总机)
86 10 68597289(总值班室)








